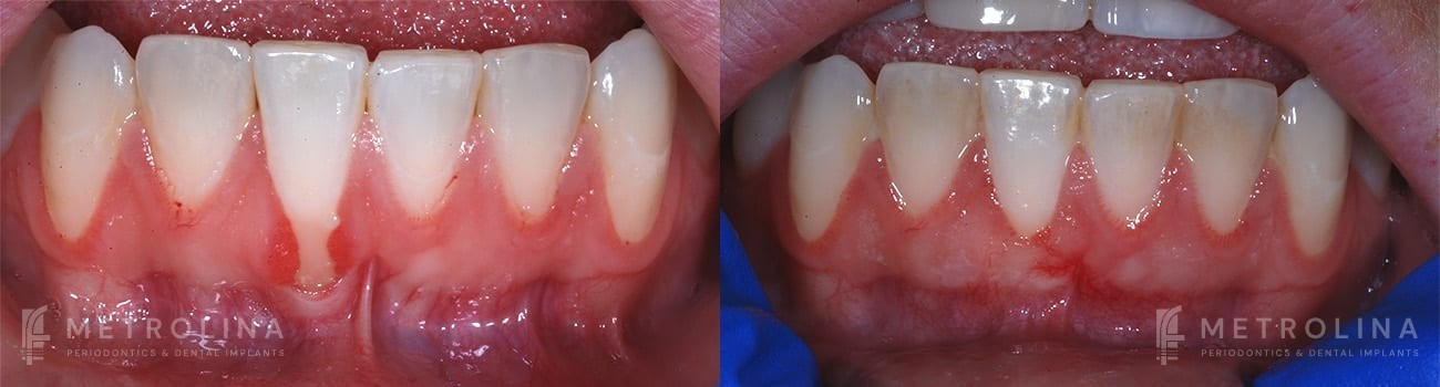
Our periodontists perform gum grafting procedures for Charlotte patients to regenerate lost gum tissue, cover exposed tooth roots, help enhance your smile, and maintain the health of your mouth preventing bone and tooth loss. The approach he uses is significantly less invasive than older gum grafting techniques, which means you should have a faster and more comfortable recovery and a more aesthetic result.
Our periodontists are proficient in gum grafting and will prioritize your comfort and safety at every stage in the process, by taking the time to explain the treatment, discuss your options, and ensure your confidence in our care.
What Are the Benefits of Gum Grafting?
Your gum tissue protects the supporting structure of your teeth. As the result of several factors — such as gum disease, improper brushing technique, and genetics — you may notice this tissue recede, exposing the roots of your teeth. Gum recession can also give your teeth an unnaturally long appearance.
The benefits of a gum grafting procedure are that it can:
