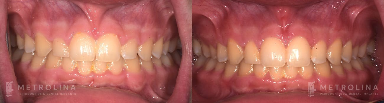
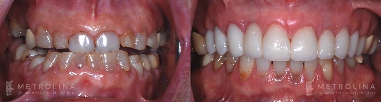
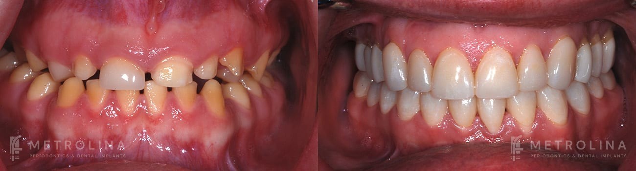
At Metrolina Periodontics & Dental Implants in Charlotte, NC, our skilled team, including board-certified periodontist Dr. Ficca and specialist periodontist Dr. Hall, provides comprehensive dental implant placement and periodontal care. We offer a full range of services, from dental implants for tooth loss to the prevention and treatment of gum disease. We are committed to providing personalized oral care and the highest standard of excellence in periodontics.
Please be aware that this is not a secure email network under HIPAA guidelines. Do not submit any personal or private information unless you are authorized and have voluntarily consented to do so. We are not liable for any HIPAA violations. Understand that if you email us, you are agreeing to the use of an unsecured method and understand that all replies will be sent in the same fashion, which you are hereby authorizing.
By checking this box you hereby agree to hold Metrolina Periodontics & Dental Implants, including its doctors and affiliates, harmless from any hacking or any other unauthorized use of your personal information by outside parties. By checking this box, you also agree to receive email communication from Metrolina Periodontics & Dental Implants.